Tuščia gemalinė pūslelė (neembrioninis nėštumas) (19)
Rabizo Anatolii | Shutterstock.com
Spermatozoidui apvaisinus kiaušialąstę ir nėštumui užsimezgus moters organizmas pradeda gaminti nėštumo hormonus, formuojasi gemalinis maišelis (kitaip dar vadinamas trynio maišeliu) ir placenta. Tačiau dėl tam tikrų priežasčių apvaisintas kiaušinėlis gali įsitvirtinti gimdoje, bet taip ir neišsivystyti į embrioną.
Kai gimdoje lieka ne visiškai susiformavęs gemalinis maišelis, moteris jaučia nėštumo simptomus, bet pats embrionas nesivysto. Ši būklė vadinama tuščia gemaline pūslele, tuščiu gemaliniu maišeliu, kartais – ir neembrioniniu nėštumu (angl. Blighted Ovum, verčiant pažodžiui – „sugedusi kiaušialąstė“).
Tokio tipo nėštumai dažniausiai baigiasi ankstyvu persileidimu – įprastai pirmojo trimestro pradžioje.
Neembrioninį nėštumą galima sumaišyti su nesivystančiu nėštumu. Abu jie panašūs, tik nesivystančio nėštumo atveju jau buvo susiformavęs embrionas, kartais netgi pradėjusi plakti širdis.
Neembrioninis nėštumas: kokios priežastys tai lemia?
Šį defektą gali nulemti prastos kokybės sperma, kiaušialąstė arba patologinis ląstelių dalijimasis. Tačiau daugeliu atvejų neembrioninį nėštumą sukelia chromosominės anomalijos.
Priežastys, kodėl gemalinė pūslelė taip ir lieka tuščia, nėra visiškai aiškios, tačiau žinoma, kad jokie tėvų veiksmai prieš ar po pastojimo tam įtakos neturi.
Ar tuščia embriono pūslelė pasitaiko dažnai?
Neembrioninių nėštumų pasitaiko gana dažnai. Būtent šis defektas nulemia apie 50 % persileidimų pirmąjį nėštumo trimestrą. Atsižvelgiant į tai, kad 10–20 % visų nėštumų baigiasi persileidimu, o daugiau nei 80 % jų įvyksta pirmąjį trimestrą, tai nėra mažas skaičius.
Neembrioninis nėštumas / tuščia gemalinė pūslelė: simptomai
Esant tuščiai embrioninei pūslelei labai anksti gali įvykti persileidimas, tad moteris gali net nežinoti, kad buvo nėščia. Prasidėjusį persileidimo kraujavimą moteris palaiko mėnesinių pradžia (ypač jei ciklas nereguliarus).
Tačiau kartais nėštumas tęsiasi pakankamai ilgai, tad nėštumo testas parodo teigimą rezultatą, moteris jaučia ankstyvuosius nėštumo požymius.
Tačiau dažniausiai vienu metu moteris jaučia ir pirmuosius nėštumo simptomus (vėluoja mėnesinės, teigiamas nėštumo testas, jautrios krūtys ir netgi rytinis pykinimas), ir persileidimo simptomus (pilvo spazmai, kraujavimas iš makšties ir kt.).
Dar prieš pirmąją echoskopiją (ultragarsinį tyrimą) galite nežinoti, kad embriono pūslelė yra tuščia, nes gemalinis maišelis ir placenta ir toliau išskiria specifinius hormonus. Tačiau kai embrionas nesusiformuoja ir šių hormonų lygis galiausiai pradeda mažėti, nėštumo požymiai gali išnykti, o persileidimo – tapti akivaizdūs.
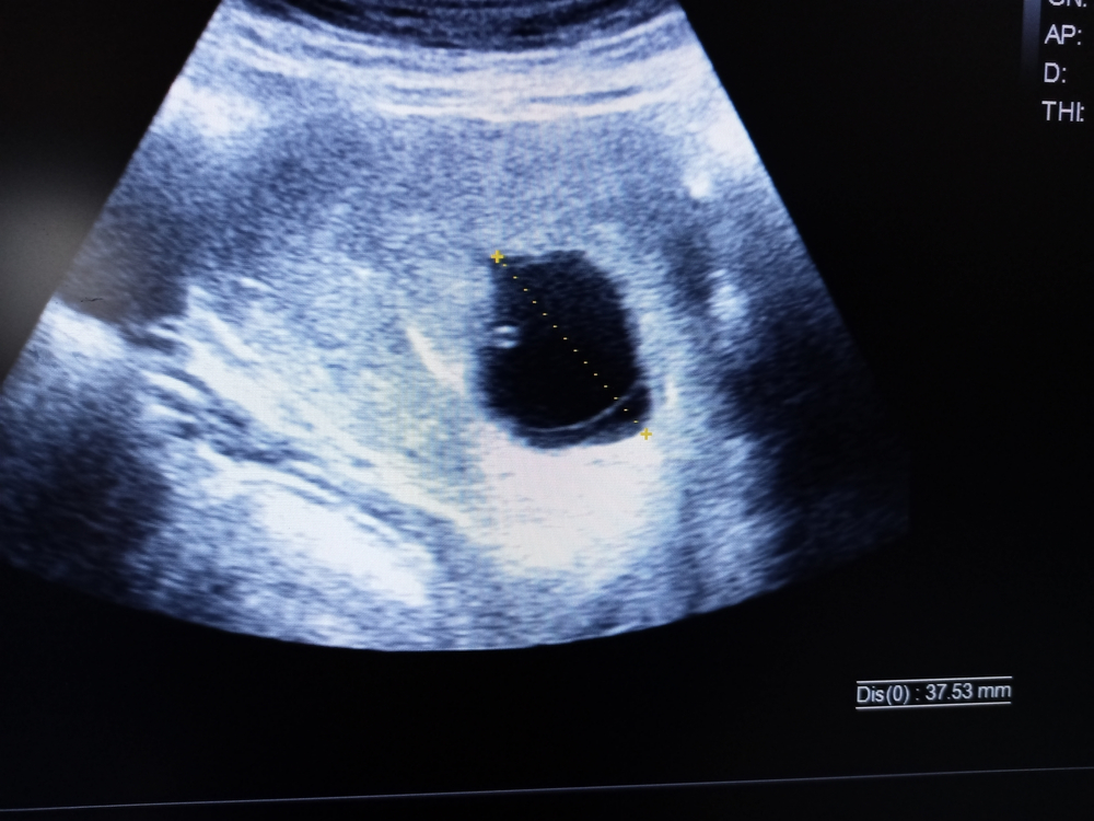
Neembrioninio nėštumo tyrimas ir diagnozavimas
Vienintelis būdas patvirtinti, kad embriono pūslelė yra tuščia – atlikti echoskopiją. Jos metu trynio maišelyje nesimato gemalo, o pats maišelis dažnai būna mažesnis, nei būdinga atsižvelgiant į nėštumo savaičių skaičių.

Allo4e4ka | Shutterstock.com
Jei nėštumas dar labai ankstyvas, atliekantis echoskopiją gydytojas jau gali įtarti šią patologiją, tačiau gali rekomenduoti tyrimą pakartoti po 1–2 sav.: tai leidžia įsitikinti, kad embriono tikrai nėra.
Mažesnis nei tikėtasi arba sumažėjęs žmogaus chorioninio gonadotropino (hCG) – placentos gaminamo nėštumo hormono – kiekis taip pat gali reikšti, kad jau prasidėjo arba netrukus prasidės persileidimas. Tačiau vien tik remiantis hCH lygiu negalima nustatyti neembrioninio nėštumo.
Retais atvejais neembrioninis nėštumas kartu gali būti ir negimdinis: apvaisintas kiaušinėlis implantuojasi ne gimdoje, bet kiaušintakyje ar kitur. Tačiau abi šios būklės iš esmės nėra susijusios.
Neembrioninis nėštumas: ką daryti?
Priklausomai nuo situacijos gydymas gali skirtis. Daugeliui moterų be jokių intervencijų įvyks savaiminis persileidimas, tačiau kartais prireikia ir medicininės pagalbos.
- Medikamentinis gydymas. Jeigu laukti savaiminio persileidimo dėl grėsmės moters sveikatai ar kitų priežasčių nerekomenduojama, gali būti skiriama persileidimą sukeliančių vaistų, kurių veiklioji medžiaga yra mizoprostolis, skatinantis gimdos susitraukimus. Tas pats vaistas yra skirtas ir medikamentiniam abortui.
- Gimdos išplėtimas ir kiuretažas. Tai chirurginė procedūra, atliekama taikant sedaciją arba bendrąją nejautrą. Jos metu naudojant chirurginius įrankius pašalinamas gimdos turinys. Jei nėštumas ankstyvas, tuomet procedūra gali būti atliekama ginekologo kabinete taikant vietinį nuskausminimą.
Nesvarbu, kuris gydymo metodas parinktas, po maždaug 4–6 sav. reikės dar kartą apsilankyti pas gydytoją, kad jis patvirtintų, ar persileidimas įvyko ir gimda tinkamai išsivalė.
Ar galima išvengti neembrioninio nėštumo?
Išvengti neembrioninio nėštumo neįmanoma, taip pat tai neįvyksta dėl kurio nors iš partnerių kaltės. Tačiau jeigu įtariate, kad patologiją nulėmė genetiniai veiksniai, galite atlikti išsamius genetinius tyrimus: jie gali padėti išsiaiškinti, kur slypi problema.
Plačiau skaitykite:
Jei neembrioninis nėštumas pasitaikė daugiau negu vieną kartą iš eilės, poroms patariama atlikti papildomus tyrimus, padėsiančius išsiaiškinti priežastis.
Gijimas ir atsigavimas po neembrioninio nėštumo
Gijimas iš esmės bus toks pats kaip ir po persileidimo.
Fizinis atsigavimas
Nutrūkus nėštumui maždaug savaitę gali varginti pilvo spazmai, kelias savaites gali kraujuoti iš makšties ir pasirodyti kraujingų išskyrų. Kraujavimas gali sustiprėti užsiimant intensyvesne fizine veikla.
Po persileidimo sveikstančioms moterims dar maždaug apie mėnesį rekomenduojama vartoti prenatalinius maisto papildus ir nenaudoti tamponų, menstruacinių taurelių ir kitų priemonių, kišamų į makštį. Mėnesinės turėtų atsinaujinti maždaug po mėnesio.
Emocinis atsigavimas
Nors embrionas nesusiformavo, nėštumas vis tiek buvo užsimezgęs, tad moterys gali jausti analogiškus jausmus, kuriuos jaučia tipinį persileidimą dėl embriono žūties patyrusios moterys. Kartais netgi gali pasireikšti pogimdyminė depresija, todėl svarbu stebėti, ar nėra jos požymių.
Pastojimas po neembrioninio nėštumo
Daugelis medikų po persileidimo anksčiau prieš vėl bandant pastoti patardavo palaukti bent 2–3 ciklus. Vis dėlto naujesnėse Amerikos akušerių ir ginekologų kolegijos rekomendacijose nurodoma, kad trūksta įrodymų, jog verta atidėti nėštumo planavimą.
Taigi, vėl pastoti galite tada, kai tik vėl norėsite ir būsite tam pasiruošę. Tiesa, mėnesinių sulaukti verta dėl to, kad bus lengviau apskaičiuoti vaisingas dienas, sumažės rizika, kad nėštumo testas rodys klaidingai teigiamą rezultatą. Tikimybė, kad kitas nėštumas ir vėl bus neembrioninis, yra maža.






Nedingo niekas. Testas rode vistiek teigiamae tik buvo skausmas diegiantis nuolat ir silpna