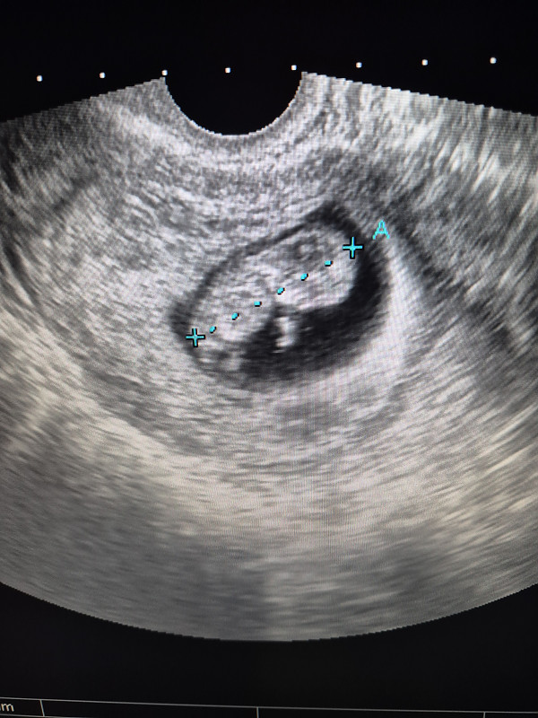
Sveikos. Grįžtu su savo stebuklu! Prieš 2 savaites buvo nustatytas nesivystantis ir laukėm persileidimo. Šiandien nueinu pas gydytoją, kad niekaip neprasideda persileidimas. Pažiūri su echo, o ten širdelė plaka!
bitute_pilkoji parašė:
Sveikos. Grįžtu su savo stebuklu! Prieš 2 savaites buvo nustatytas nesivystantis ir laukėm persileidimo. Šiandien nueinu pas gydytoją, kad niekaip neprasideda persi…
eina saau !!! net man laimės ašaros susikaupė 🥹 kaip faina ir labai džiaugiuosi dėl Jūsų! nuostabios žinios♥️
bitute_pilkoji parašė:
Sveikos. Grįžtu su savo stebuklu! Prieš 2 savaites buvo nustatytas nesivystantis ir laukėm persileidimo. Šiandien nueinu pas gydytoją, kad niekaip neprasideda persi…
bitute_pilkoji parašė:
Sveikos. Grįžtu su savo stebuklu! Prieš 2 savaites buvo nustatytas nesivystantis ir laukėm persileidimo. Šiandien nueinu pas gydytoją, kad niekaip neprasideda persi…
Sakyčiau stebuklas ❤️ jūsų vietoje net nezinociau kaip reaguoti sužinojus tokią naujieną 🫣😀
bitute_pilkoji parašė:
Sveikos. Grįžtu su savo stebuklu! Prieš 2 savaites buvo nustatytas nesivystantis ir laukėm persileidimo. Šiandien nueinu pas gydytoją, kad niekaip neprasideda persi…
Ojej grizkit i uzdara gr, kaip dziugu del jusu ,❤️❤️🥰
Jungiuosi ir aš į grupę, numatoma gimdymo data lapkričio 3d 😊
Apsilankymo metu buvo beveik 10sav.širdelė plaka, sako viskas gerai 🙂
Paskyrė begales tyrimų: bendrą kraują, šlapimą, feritiną, vit D, skydliaukę, odontologo apžiūrą, apsilankyti pas ginekologe, šeimos gyd., akušerę ir viską atlikti 22d. Tai jau kaip ir 12savaičių, gal net ir daugiau bus 😊 Turiu mažakraujystę, labai žemą spaudimą, tai vargstu. Jėgų 0, pastoviai pykina, silpna, kančia net iki tuoleto nueiti😐 Tikiuosi jau greitai pagerės, nes jau psichologiškai darosi sunku, kai nuo kiekvieno judesio bloga...🫣
Šioje interneto svetainėje pateikiama medžiaga yra skirta pažinimui ir informacijai. Jei kiltų klausimų dėl Jūsų ar Jūsų vaiko sveikatos, būtinai pasitarkite su gydytoju ar kitu sveikatos priežiūros specialistu.